氟斑牙不治疗会有什么危害
来源:上海建国医院 【医保定点单位】
氟斑牙是由于饮用的含氟较高的水所导致的牙齿疾病,很多人对此不重视,认为牙齿只是没那么好看而已,其实不然,氟斑牙不仅仅影响牙齿美观,还会危害口腔健康和身体健康。

氟斑牙不治疗会有什么危害?氟斑牙的危害具体包括以下四点:
1、对酸蚀抵抗力强,但对摩擦耐受性差,影响到牙齿正常功能。
2、氟牙症一般均见于恒牙,但如氟的摄入量过多,超过其筛除功能的限度时,也能不规则地表现在乳牙上。
3、氟斑牙可能会对我们的牙齿健康造成危害,有时可能会引起我们的恶心、呕吐、腹泻等身体的不适。
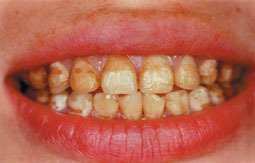
4、氟斑牙属于色素牙的一种,一般呈黄色改变。在同一时期萌出的釉质上有白垩色到褐色的斑块,严重者还可并发牙釉质的实质缺损。临床上常按其轻、中、重度而分为白垩型(轻度)、着色型(中度)和缺损型(重度)三种类型。
温馨提示:以上就是上海建国医院医生的介绍,如您还有什么问题可以直接在线咨询或拨打健康热线,我们的专家将会给您一个满意的答复。
- 上一篇:氟斑牙会有哪些表现呢
- 下一篇:成人得了氟斑牙怎么办





程艳华
赵继昌
谢延辉


杜玉玲
钱雪华
王根娣
杨立群
王圣科
张慧君


陆顺军
裴红云
赵敦美

齐凤琴
王海珍






医院地址:
门诊时间:
交通路线:


