成人得了氟斑牙怎么办
来源:上海建国医院 【医保定点单位】
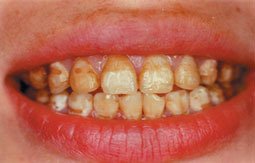
有很多人都很纳闷每天都按时刷牙,清洁自己的口腔,可以牙齿到最后还是变色了,这个到底是什么原因?当然,牙齿漂亮坚固是每个人的希望,但总有那么一些人的牙齿偏偏出现了氟斑牙,那么成人得了氟斑牙怎么办?

上海建国医院专家介绍:刷牙要在吃过饭3分钟内进行。每天三次以上,避免细菌在牙齿表面的沉积,防止龋齿。晚上睡觉前,刷一遍牙很重要,因为它能清除当日三餐积存于牙齿上的食物的残渣污垢。否则,在夜间睡眠状态下,口腔内滋生细菌,污物与唾液的钙盐沉积,就容易在牙齿表面形成牙菌斑及牙石,使牙齿变黄。
应该了解自身牙齿不够洁白的原因。在医学上,单纯的牙齿色黄、色暗等统称为牙齿着色。它一般分为外源性着色和内源性着色两种。简单地说,外源性着色是指牙齿外在染色,主要是由于食物色素着色、烟渍等造成。而内源性着色,则是由于在牙齿发育时期服用了某种药物或饮用水质等原因导致牙齿颜色异常,常见的有四环素牙和氟斑牙。
温馨提示:以上就是上海建国医院医生的介绍,如您还有什么问题可以直接在线咨询或拨打健康热线,我们的专家将会给您一个满意的答复。
- 上一篇:氟斑牙不治疗会有什么危害
- 下一篇:孕期女性能做牙齿矫正吗





程艳华
赵继昌
谢延辉


杜玉玲
钱雪华
王根娣
杨立群
王圣科
张慧君


陆顺军
裴红云
赵敦美

齐凤琴
王海珍






医院地址:
门诊时间:
交通路线:


