氟斑牙会有哪些表现呢
来源:上海建国医院 【医保定点单位】
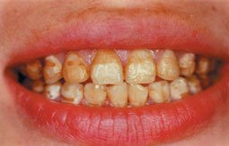
氟斑牙是色素牙中比较常见的一种,是具有地方性的典型牙齿疾病,氟斑牙不仅会影响到牙齿美观性,对我们的口腔健康也是有一定危害的,所以出现氟斑牙一定要及时去美白,那么氟斑牙会有哪些表现呢?

氟斑牙会有哪些表现呢?
氟牙症临床表现的特点是在同一时期萌出的釉质上有白垩色到褐色的斑块,严重者还会并发有釉质的实质缺损。临床上常按其轻、中、重度而分为白垩型(轻度)、着色型(中度)和缺损型(重度)三种类型。所以说氟斑牙的症状都会有这些。
多见于恒牙,发生在乳牙者甚少,程度亦较轻。这是由于乳牙的发生分别在胚胎期和乳婴期,而胎盘对氟有一定的屏障作用。因此,氟牙症一般均见于恒牙,但如氟摄入量过多,超过其筛除功能的限度时,也能不规则地表现在乳牙上。
严重的慢性氟中毒患者,可有骨骼的增殖性变化,骨膜、韧带等均可钙化,并从而产生腰、腿和全身关节症状。急性中毒症状为恶心、呕吐、腹泻等。由于血钙与氟结合,形成不溶性的氟化钙,引起肌痉挛、虚脱和呼吸困难,重度甚至可以引起死亡,所以我们要引起重视
温馨提示:以上就是上海建国医院医生的介绍,如您还有什么问题可以直接在线咨询或拨打健康热线,我们的专家将会给您一个满意的答复。
- 上一篇:氟斑牙是如何形成的
- 下一篇:氟斑牙不治疗会有什么危害





程艳华
赵继昌
谢延辉


杜玉玲
钱雪华
王根娣
杨立群
王圣科
张慧君


陆顺军
裴红云
赵敦美

齐凤琴
王海珍






医院地址:
门诊时间:
交通路线:


