氟斑牙是如何形成的
来源:上海建国医院 【医保定点单位】
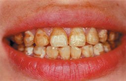
氟斑牙是一种顽固的色素牙,由于人们长期服用过多的含氟量较高的水导致。当有氟斑牙时我们一定要及时到正规的口腔医院治疗。那么氟斑牙是如何形成的?

氟牙症临床表现的特点是在同一时期萌出的釉质上有白垩色到褐色的斑块,严重者还并发有釉质的实质的缺损。临床上常按其轻、中、重度分为白垩型(轻度)、着色型(中度)和缺损型(重度)三种类型。
多见于恒牙,发生在乳牙者甚少,程度也较轻。这是由于乳牙的发生分别在胚胎期和乳婴期,而胎盘对氟有一定屏障作用。因此,氟斑牙均见于恒牙,但如氟的摄入量过多,超过其筛除功能的限度时,也能不规则地表现在乳牙上。
严重的慢性氟中毒患者,可有骨骼的增殖性变化,骨膜、韧带等可钙化,并从而产生腰、腿和全身关节症状。急性中毒症状为恶心、呕吐、腹泻等。由于血钙与氟结合,形成不溶性的氟化钙,引起肌痉挛、虚脱和呼吸困难,以致死亡。
温馨提示:以上就是上海建国医院医生的介绍,如您还有什么问题可以直接在线咨询或拨打健康热线,我们的专家将会给您一个满意的答复。
- 上一篇:氟斑牙要如何美白
- 下一篇:氟斑牙会有哪些表现呢





程艳华
赵继昌
谢延辉


杜玉玲
钱雪华
王根娣
杨立群
王圣科
张慧君


陆顺军
裴红云
赵敦美

齐凤琴
王海珍






医院地址:
门诊时间:
交通路线:


