氟斑牙要如何美白
来源:上海建国医院 【医保定点单位】
氟斑牙的出现会给牙齿的美观造成很大的伤害,所以出现氟斑牙的患者都会想办法去美白牙齿,这样才能恢复我们完美的牙齿美观形象,那么氟斑牙要如何美白治疗?

氟斑牙要如何美白治疗?
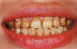
氟斑牙按照症状的轻重可以分为不同的类型,不同的着色程度所采取的治疗方法也不同,下面就来具体的看看:
单纯的白色斑块:这种白色的斑块是那种不透明的白,想白墙一样,不过对美观的影响不大,一般无需治疗。
轻度的黄色斑块:这个类型是在上一种的基础上牙齿上还有浅浅的黄色斑块,这种一般可以通过漂白或者表面的微打磨去除黄色的部分,达到美白的效果。前提是黄色的斑块颜色比较浅。
中度的黄色斑块:比上一种黄色更浓、面积更大,选择漂白,起码黄色斑块能变淡,运气好的话也能完全祛除。这种黄色斑块由于附着的较深,打磨后会有明显的痕迹,还需要配合树脂充填或者瓷贴面。
重度的黄色斑块:基本牙齿都是黄色,甚至棕色的,而且牙面上还不平整,可采用瓷贴面的修复方法。
非常严重的氟斑牙:牙齿上的釉质大量缺失,或者还有很多的龋齿,可考虑做全瓷冠了。
温馨提示:以上就是上海建国医院医生的介绍,如您还有什么问题可以直接在线咨询或拨打健康热线,我们的专家将会给您一个满意的答复。





程艳华
赵继昌
谢延辉


杜玉玲
钱雪华
王根娣
杨立群
王圣科
张慧君


陆顺军
裴红云
赵敦美

齐凤琴
王海珍






医院地址:
门诊时间:
交通路线:


