氟斑牙的症状及危害
来源:上海建国医院 【医保定点单位】
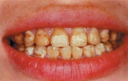
据了解,个人如果出现,牙齿上就会出现白色到褐色的斑块。如果,这些斑块继续恶化就会导致缺损了。上海建国医院医生建议,轻度的氟斑牙可以通过美白修复,但是重度氟斑牙导致牙齿缺损,就要采取补牙的措施去弥补。

氟斑牙的症状及危害?
1、氟牙症临床表现的特点是在同一时期牙釉质上有白色到褐色的斑块,严重者会出现釉质缺损,危害口腔健康。
2、氟斑牙最大的危害是影响个人在外在形象,氟斑牙一般均见于换牙之后,但如氟摄入量过多,超过其筛除功能的限度时,也能不规则地表现在乳牙上,形成氟斑色素。
3、严重的慢性氟中毒患者,可有骨骼的增殖性变化,骨膜、韧带等均可钙化,并从而产生腰、腿和全身关节症状。急性中毒症状为恶心、呕吐、腹泻等。由于血钙与氟结合,形成不溶性的氟化钙,引起肌痉挛、虚脱和呼吸困难,以致死亡。
4、氟斑牙是色素牙的一种,一般而言呈黄色,牙釉质上有白色到褐色的斑块,严重者一定程度上牙齿会形成缺损。据了解,氟斑牙对摩擦的耐受性差,但对酸蚀的抵抗力强。
温馨提示:以上就是上海建国医院医生的介绍,如您还有什么问题可以直接在线咨询或拨打健康热线,我们的专家将会给您一个满意的答复。
- 上一篇:氟斑牙会不会越来越严重
- 下一篇:氟斑牙要如何美白





程艳华
赵继昌
谢延辉


杜玉玲
钱雪华
王根娣
杨立群
王圣科
张慧君


陆顺军
裴红云
赵敦美

齐凤琴
王海珍






医院地址:
门诊时间:
交通路线:


