氟斑牙会不会越来越严重
来源:上海建国医院 【医保定点单位】
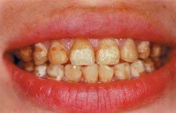
氟斑牙的形成,主要的原因是生活的环境水质以及空气中氟含量过高而导致的。有了氟斑牙之后,牙齿上有黄色的斑看起来十分的难看。通常氟斑牙对于人的身体没有什么大的影响,但是会极大的影响人的身心健康,慢慢的人也会越来越不自信。对于氟斑牙很多人呢的疑问比较多,比如氟斑牙的情况会不会越来越严重?

有了氟斑牙会不会越来越严重
上海建国医院口腔医生指出,氟主要损害釉质发育期牙胚的造釉细胞,因此,过多的氟只有在牙齿发育矿化期进入机体,才能发生氟斑牙,临床主要表现为釉质出现着色的斑块和缺损。如果是在六七岁以前,长期饮用含氟量较高的水质,即使日后迁居他处,萌出的恒牙也照样会出现氟斑牙的症状。
相反的是,如果在七岁之后迁入高氟区,则不会出现氟斑牙的状况。一般来说,氟斑牙形成后不会会人体产生什么大的危害,也不会变的更加厉害,不过有一点比较麻烦的是,一旦患上氟斑牙后是很难再消除的。
温馨提示:以上就是上海建国医院医生的介绍,如您还有什么问题可以直接在线咨询或拨打健康热线,我们的专家将会给您一个满意的答复。





程艳华
赵继昌
谢延辉


杜玉玲
钱雪华
王根娣
杨立群
王圣科
张慧君


陆顺军
裴红云
赵敦美

齐凤琴
王海珍






医院地址:
门诊时间:
交通路线:


