牙齿拥挤有什么影响
来源:上海建国医院 【医保定点单位】
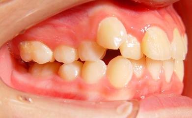
牙齿拥挤往往人们认为只是牙齿难看一点,如果不是很影响形象,没有必要进行治疗。其实不然,牙齿拥挤还可能给牙齿带来很多的并发症,给口腔造成巨大的困扰,影响到您的正常饮食起居,以及正常的社交生活,那么,牙齿拥挤有什么影响?

首先牙齿拥挤会造成各类的口腔清洁难题,其次牙齿拥挤还会带来各种的口腔炎症等,牙齿拥挤并非我们想想的那么简单,想要健康的生活,切不可怠慢牙齿拥挤的问题。
1、牙齿拥挤影响牙齿清洁,减弱牙齿的自洁作用。容易形成软垢、茵斑和牙石,继而给牙齿带来一系列的伤病。
2、影响上下颌牙齿之间的咬合关系,进而影响正常的咀嚼功能,降低咀嚼效率,久而久之,可能因此而引起消化不良和胃肠功能的紊乱。
3、影响发育,某些牙齿排列不齐,会妨碍上下牙弓颌骨的正常发育,使畸形愈来愈严重。
4、阻碍邻牙修复,影响镶牙,也就是修复邻牙时,牙齿拥挤会造成很大的阻碍。
温馨提示:以上就是上海建国医院医生的介绍了,如您还有问题可以直接在线咨询或直接拨打健康热线,我们的专家将会给您一个满意的答复。
- 上一篇:矫正牙齿拥挤要注意哪些
- 下一篇:牙齿矫正期间饮食应该注意什么





程艳华
赵继昌
谢延辉


杜玉玲
钱雪华
王根娣
杨立群
王圣科
张慧君


陆顺军
裴红云
赵敦美

齐凤琴
王海珍






医院地址:
门诊时间:
交通路线:


