牙齿长得很拥挤怎么办
来源:上海建国医院 【医保定点单位】
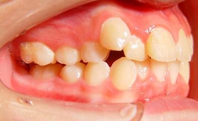
对我们来说牙齿一个至关重要的器官,它直接与我们的生活健康联系着,在日常生活中,我们常常看到人们的牙齿有着各种畸形的现象,其中较为常见的就是牙齿拥挤,那么,牙齿长得很拥挤怎么办?

牙齿拥挤对我们的口腔存在着很大的危害,因为拥挤的牙齿会影响到我们咀嚼功能,而食物要是嚼的不够细致的话,还会给我们的胃肠增加负担,从而整个身体对营养的摄入都会受到影响。
针对牙齿拥挤的状况,建议您可以去专业的医院做隐形矫正治疗。隐形矫正是在传统矫正方式上更加强调矫正美观效果的,能够使拥挤的牙齿在短时间内从新变的整齐,在此,推荐您使用隐适美隐形系统,具体优势如下:
1、矫正更方便:使用隐适美隐形正畸系统矫正牙齿是很方便的,在一些特殊的情况下可以取下矫治器,吃饭、刷牙后又佩戴好就行了,对生活的影响很小。
2、矫正更舒适:隐适美隐形正畸系统的矫治器是光滑小巧透明的,没有金属的配件存在,矫治期间不仅美观不说,还很的舒适,相对舒适存在。
3、设计更独特:隐适美隐形正畸系统为患者矫正之前,会先利用计算机模拟出牙齿的变化情况,让患者可以更好的挑选自己想要的矫治方案,整个设计都是为患者量身打造的,能够突出个性化三个字,让患者可以更好的进行牙齿矫正。
温馨提示:以上就是上海建国医院医生的介绍了,如您还有问题可以直接在线咨询或直接拨打健康热线,我们的专家将会给您一个满意的答复。
- 上一篇:牙齿拥挤会造成哪些危害?
- 下一篇:儿童牙齿拥挤危害大吗





程艳华
赵继昌
谢延辉


杜玉玲
钱雪华
王根娣
杨立群
王圣科
张慧君


陆顺军
裴红云
赵敦美

齐凤琴
王海珍






医院地址:
门诊时间:
交通路线:


