怎样去除牙齿上的烟渍
来源:上海建国医院 【医保定点单位】
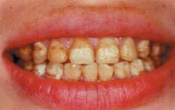
生活中很多人都有吸烟的习惯,而烟瘾除了对我们的健康会产生很大的危害以外还会造成等比较难以祛除的色素牙问题。烟渍牙的存在不仅容易出现难闻的口臭同时还会影响到个人的形象,那么怎样去除牙齿上的烟渍?

烟渍牙是怎么回事呢?
如果长期吸烟还可以使牙面沉积大量烟斑使牙齿呈黄褐色或黑褐色。这些牙面着色主要影响美观,虽然色素沉积本身对于牙龈的刺激性不大但是它往往是沉积在牙菌斑和牙石之上。色素沉积的范围较大而较厚时常常为牙菌斑的积聚提供了一个粗糙的表面,既而刺激牙龈组织产生炎症。
另外,由于刷牙不彻底没有将牙菌斑清除干净,一些细菌也可以在牙面上产生一些色素沉积。所以在日常生活中要保持良好的口腔卫生习惯,这样有助于预防和减少牙面着色。
已经形成的烟渍怎么去除呢?
要想除去牙烟渍首先要进行牙齿护理清洁牙结石。现在我们可以通过蓝光美白牙来解决这一问题,蓝光美白牙的是将高强度蓝光作用于涂抹在牙齿上的美白剂上,使美白剂迅速透过牙本质小管与多年来沉积在牙齿表面及深层的色素产生氧化还原作用从而让牙齿恢复到未经染色前的洁白,可即时提高5-14个VITA色阶。
温馨提示:以上就是上海建国医院医生的介绍,如您还有什么问题可以直接在线咨询或拨打健康卡热线,我们的专家将会给你一个满意的答复。
- 上一篇:顽固的烟渍牙该如何去除
- 下一篇:黑牙主要是哪些原因引起





程艳华
赵继昌
谢延辉


杜玉玲
钱雪华
王根娣
杨立群
王圣科
张慧君


陆顺军
裴红云
赵敦美

齐凤琴
王海珍






医院地址:
门诊时间:
交通路线:


