色素牙有什么危害呢?
来源:上海建国医院 【医保定点单位】
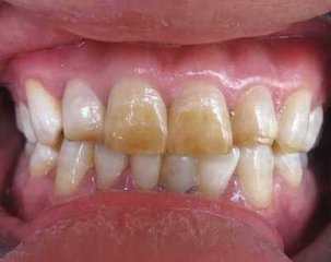
上海建国医院口腔专家介绍,色素牙是人们常见的一种牙病,其实色素牙的产生因素很多,生活中很多不起眼的因素都会导致色素牙的产生,对于色素牙的预防大家只需要在生活中保持正常的刷牙清洁口腔的卫生就行了,那么色素牙有什么危害呢?

第一,不利于人际交流,患有色素牙的患者应该都明白即使没有口臭的问题,当别人看到自己口中的色素牙的时候也会顿时产生一种厌倦的感觉,所以不利于人际交流。
第二,口齿不清,色素牙还会导致患者生理上出现问题,在交流的过程中出现口齿不清的现象。
第三,引发健康隐患,色素牙还会导致患者的健康受损,色素牙会导致患者口腔的卫生不够清洁,细菌的滋生导致口腔疾病的发生。
第四,严重影响个人形象,色素牙的产生会导致患者的个人形象受损,当患者张口和他人说话时候很容易让对方感到不自然,有时候甚至让对方直接拒绝谈话,导致患者尴尬。
温馨提示:以上就是上海建国医院专家的介绍如您还有什么疑问可以直接在线咨询或拨打健康热线,我们的专家将会给您一个满意的答案。
- 上一篇:安装烤瓷牙应注意什么
- 下一篇:牙齿美容修复需要多长时间





程艳华
赵继昌
谢延辉


杜玉玲
钱雪华
王根娣
杨立群
王圣科
张慧君


陆顺军
裴红云
赵敦美

齐凤琴
王海珍






医院地址:
门诊时间:
交通路线:


